메뉴명

고혈압, 당뇨의 합병증으로 발생하는 안과 질환입니다.
고혈압,당뇨의 질환을 가지고 있는 경우 정기적인 검진으로 조기에 진단될 수 있도록 해야합니다.

당뇨는 눈과 시력에 여러 방식으로 영향을 줍니다. 시력이 자주 변하거나, 젊은 나이에 백내장이 생기기도 합니다. 당뇨 합병증 중 가장 주의해야 하는 것이 바로 당뇨망막병증입니다. 당뇨병 경력이 30년 이상 되는 환자 약 90%에서 발병하며, 혈당 조절이 잘 안 된 경우 발병률이 더 높습니다.

비증식성 당뇨망막병증

망막 모세혈관이 작은 풍선처럼 커져 꽈리모양으로 변형됩니다. 비증식성 당뇨망막병증은 대게 실명을 초래하지는 않습니다. 하지만 모세 혈관벽이 약해서 물이 새어나가게 되면 황반이 붓게되어 시력 장애를 초래할 수 있습니다.

증식성 당뇨망막병증

망막혈관이 폐쇄 및 손상됨에 따라 신생혈관이 망막에서 유리체를 향해 자라게 합니다. 신생혈관은 약해서 쉽게 터지고 혈액이 누출될 수 있으며, 섬유 조직과 함께 자라난 신생혈관이 수축하여 망막박리 현상이 나타날 수 있습니다.

※ 이미 심각한 망막 손상이 진행되었어도 시력 변화를 느끼지 못할 수 있습니다. 병변이 너무 진행되면 치료가 어려울 수 있으므로 정기적인 안과 검진으로 조기 발견하는 것이 치료에 도움이 됩니다.

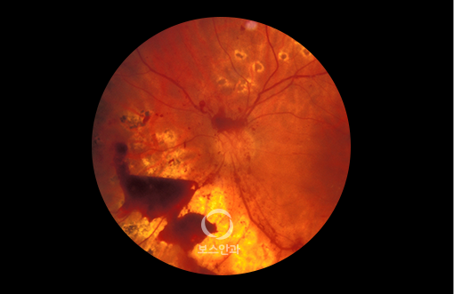
오른쪽 눈으로 사물이 잘 안 보이는 20년 차 당뇨병 환자 57세 남자

  • 당 조절이 잘 안 되는 상태여서 망막 정밀검사 권유
  • 안저검사상 우안) 유리체혼탁
  • 망막OCT상 우안) 출혈로 인해서 망막 상태 분석 불가능
  • B-scan상 우안) 망막박리는 없음
당뇨망막병증으로 인한
유리체출혈 진단
※ 보스안과는 당장 눈에 보이는 1차적인 질환만 진단하는 것이 아니라 근본적인 원인 파악을 위해 경과를 지켜보고 분석하여 보다 정확한 진단을 위해 노력합니다.

당뇨망막병증이 생겼는지 어떻게 알 수 있나요?

초기에는 증상이 없으므로 당뇨망막병증이 이미 생겼어도 본인은 느끼지 못할 수 있습니다. 따라서 조기진단을 위해서는 정기적으로 안과 검진을 받아야 합니다. 당뇨를 알고 있다면 증상이 없더라도 1년에 한번은 안과 검진을 받는 것을 추천합니다.

범망막응고술

망막에 수백 개의 응고 반점을 만드는 치료법입니다. 유리체 출혈이나 망막박리에 의한 실명 위험성을 줄일 수 있습니다.

국소광응고술

황반부종의 원인이 되는 누출 혈관을 레이저로 응고시켜 시력 악화를 방지하는 치료 방법입니다.

유리체절제술

섬유조직 및 눈 속 출혈을 제거하여 시력을 확보하는 방법입니다.

보스안과
소아안과
백내장/노안
눈 건강검진
시력교정
안구건조증
노인성 쌍꺼풀
커뮤니티