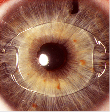
안내렌즈 삽입술이란 각막이 너무 얇거나 각막 모양의 고르지 못한 경우 등
각막에 손상이 부담스러우신 특수 고안된 렌즈를 경우 각막과 수정체의 손상 거의 없이
각막과 홍채 사이 또는 홍채와 수정체 사이에 렌즈를 삽입하여 시력을 교정할 수 있는 수술입니다.


정밀 측정 장비가 검사를 통해 눈 속 공간을 측정한다면,
공간을 확보하고 눈 속에 삽입할 렌즈를 결정하는 것은 의료진의 노하우입니다.
사람의 눈은 저마다 크기와 모양이 다르므로 검사 데이터를 기준으로 적절한 크기의 렌즈를 삽입해야 합니다.
보스안과에서는 개개인에게 알맞은 크기의 렌즈를 삽입하여 부작용의 위험을 줄이고 안전한 수술을 위해 노력합니다.
안내렌즈 삽입술에서 난시 교정방법은 다소 까다로운 편입니다.
난시 도수에 따라 각막을 미세하게 절개하여 난시를 교정하는 방법으로 의료진의 기술력이 요구되는 수술입니다.
대학병원 교수 출신 전담 원장님이 직접 수술하며 , 2차적인 교정이 필요 없고 수술 후 환자 만족도가 높은 편입니다.
안내렌즈 삽입술과 절대 난시 교정술을 동시에 진행하여, 시력 교정은 물론 난시 교정도 함께 해결해드립니다.
개개인의 눈에 알맞은 렌즈를 삽입하여 시력을 교정해주고,
절개 난시 교정술, 바이옵틱스, 토릭 ICL 을 통해 난시도 함께 교정할 수 있어 보다 편리합니다.
점탄물질이란 안내렌즈삽입 시 눈 속의 구조물을 보호하기 위해 삽입하는 물질입니다.
주요 성분은 히알루론산나트륨으로 인체에는 무해하지만 점성이 높아 안구 내부에 남아있게 되면
방수의 흐름을 방해하여 안압 상승을 유발시킬 수 있으므로 깔끔하게 제거해주어야 합니다.
보스안과는 숙련된 의료진의 노하우를 바탕으로
수술 부위가 외부 환경에 노출되는 시간을 줄여 부작용의 위험을 줄이고,
안전한 수술을 위해 항상 연구하고 노력합니다.
수술 상담은 상담 직원이 하고 원장은 수술만 집도하는 병원이 있습니다.
그러나 보스안과는 안내렌즈 삽입술 전 상담부터 수술까지 대표원장이 전담합니다.
환자의 상태를 더욱 정확하게 판단하여 안전한 수술을 하기 위함입니다.
모든 수술은 대표원장이 상담부터 수술까지의 경과를 확인하고 판단합니다.